T
he m
ET
amaterial fo
R
malism
approach to recognize c
A
ncer
Tetra Project
About
WG and Membership
Action
Grants
STSM conference grant 1 (2026)
ITC conference grant 1 (2026)
ITC conference Grant 2 (2026)
ITC conference Grant 3 (2026)
Dissemination Conference Grant 1 (2026)
STSM1
STSM2
STSM3
STSM4
Virtual Mobility Grant (VMG)
Young Researcher and Innovator (YRI) Conference grant
Dissemination Conference Grant 1
Dissemination Conference Grant 2
Dissemination Conference Grant 3
ITC conference grant 1
ITC conference grant 2
ITC conference grant 3
ITC conference grant 4
Action
Tetra Weeks
Webinars
News
Action
Deliverables
D1.1
D1.2
D2.1
D2.2
Action
Publications
Action
Conferences & Workshops
1st Workshop
2nd Workshop
3rd Workshop
4th Workshop
5th Workshop
Action
Training School
Summer School on Biophotonics, AI and Data analysis
Photonics meets Biology
Action
D1.2
Healthy Retina
Unhealthy Retina
Healthy Choroid
Unhealthy Choroid
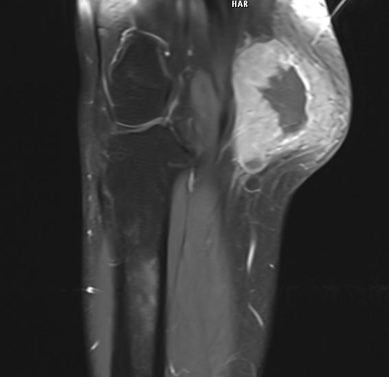
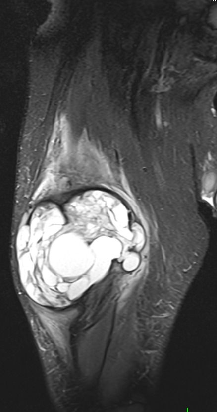
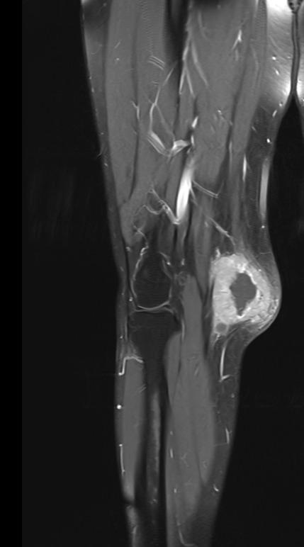
Muscle Cancer
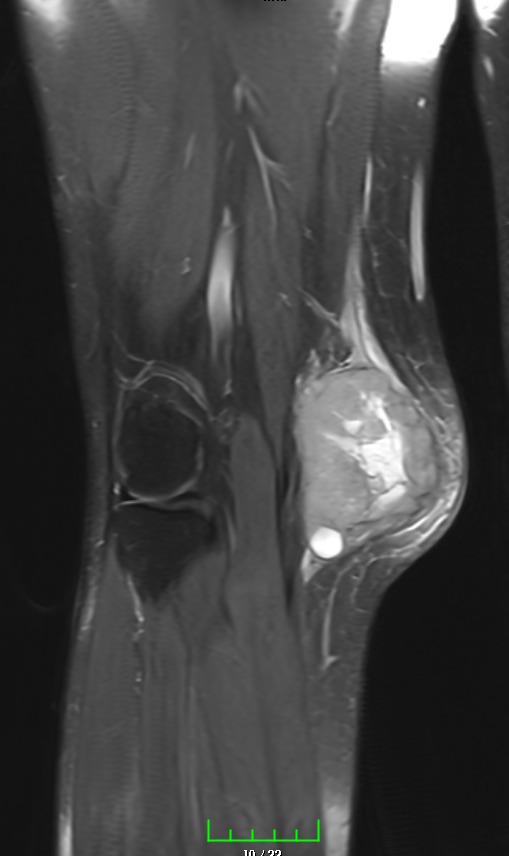
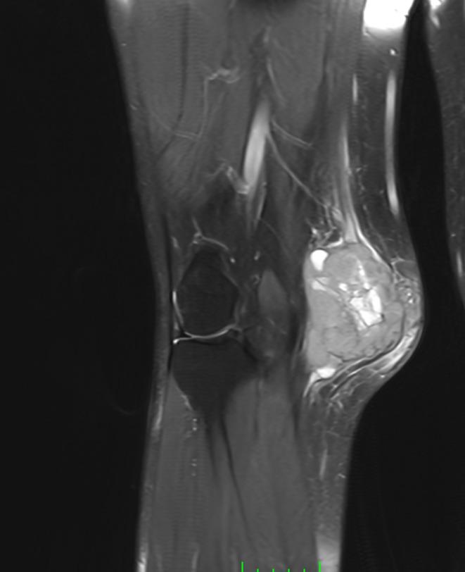
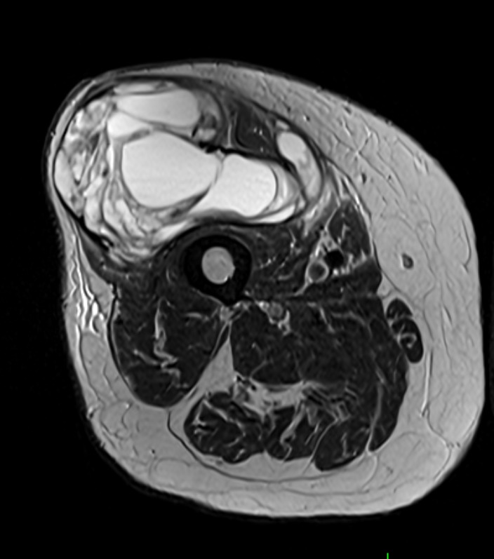
Muscle Cancer
Healthy Eye
Overview 1
Actin
Nuclei
Nuclei - Bis
Nuclei
Tubulin
Overview 2
Actin
Nuclei
Nuclei - Bip
Nuclei
Tubulin
Tubulin - Bip
Tubulin - Nuc
Overview 4
Actin
Nuclei
Nuclei - Bipolar
Nuclei
Blast Eye
Healthy Choroid
Unhealthy Choroid